• 14.10.2014

Molekulare Ursachen für häufige Lebererkrankungen aufgeklärt

Immunzellen verursachen Fettleber und Leberkrebs

Immunzellen, die in die Leber einwandern und dort mit Zellen des Lebergewebes interagieren, können Fettleber, nicht-alkoholische Steatohepatitis und Leberkrebs auslösen. Dies haben Wissenschaftler der Technischen Universität München (TUM), des Helmholtz Zentrums München und der Universität Zürich im Tiermodell und im Patienten herausgefunden und damit einen bislang un­be­kann­ten­ Entstehungsmechanismus dieser schwe­ren­ und weit verbreiteten Erkrankungen identifiziert. Die Er­geb­nis­se­ sind im Journal <i>Cancer Cell</i> als Cover-Story publiziert.

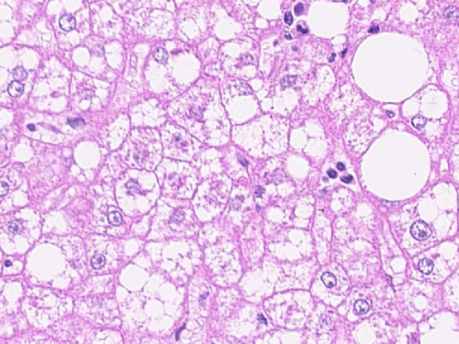
Die Abbildung zeigt einen histologischen Gewebeschnitt einer Steatoheaptitis im Menschen. (Bild: A. Weber / Universitätsspital Zürich, Erklärung s. unten)
Die Abbildung zeigt einen histologischen Gewebeschnitt einer Steatoheaptitis im Menschen. (Bild: A. Weber / Universitätsspital Zürich, Erklärung s. unten)

Eine Verfettung der Leber entsteht – neben der durch massiven Alkoholkonsum verursachten Fettleber - vor allem durch übermäßigen Konsum von Fett und Zucker in Kombination mit geringer Bewegung. Man spricht dann von der nicht-alkoholischen Fettleber (NAFLD). Kommt eine chronische entzündliche Gewebsreaktion hinzu, kann eine nicht-alkoholische Steatohepatitis (NASH) entstehen. Diese Lebererkrankungen sind neben chronischen Virusinfektionen die häufigste Ursache von Leberkrebs (Hepatozelluläres Carcinom, HCC).

In den USA leiden etwa 90 Millionen Menschen an einer Fettleber, in Europa sind es mehr als 40 Millionen  und auch in Schwellenländern (z.B. Indien und China) steigt die Zahl der Betroffenen aufgrund eines zunehmend ungesunden Lebensstils mit steigender Tendenz. Auch das aus NASH und NAFLD resultierende HCC nimmt weltweit zu – in den USA ist das HCC die am schnellsten wachsende Krebserkrankung. Eine effiziente kausale Therapie für diese Patienten existiert nicht, trotz ca. 800.000 HCC Toter pro Jahr weltweit.

T-Zellen an der Entstehung von Fettleber, NASH und HCC beteiligt

Die Mechanismen, wie Fettleber, Steatohepatitis und HCC entstehen, sind weitgehend noch unverstanden. Immunzellen, insbesondere CD8+ T-Zellen und NK T-Zellen, scheinen dabei aber eine wichtige Rolle zu spielen. Dies hat das Wissenschaftlerteam um Prof. Mathias Heikenwälder vom Institut für Virologie gemeinsam mit einem Team um Prof. Percy Knolle an der Technischen Universität München, mit Kollegen der Arbeitsgruppen Prof. Matthias Tschöp und Dr. Kristian Unger am Helmholtz Zentrum München und mit Prof. Achim Weber und Dr. Monika Wolf vom Universitätsspital Zürich herausgefunden.

Sie verwendeten ein Tiermodell, mit dem die langfristigen Auswirkungen des metabolischen Syndroms untersucht werden können und welches die Humanpathologie nachspielt. Beim metabolischen Syndrom handelt es sich um eine Kombination aus Übergewicht/abdomineller Fettleibigkeit, Insulinresistenz, erhöhten Blutfetten und Bluthochdruck. Die Wissenschaftler konnten so neuartige Mechanismen aufklären, die zu Fettleber und NASH führen und auch zeigen, wie daraus Leberkrebs entsteht.

Entzündungsgeschehen bietet Ansatzpunkte für Prävention und Therapie

Die Wissenschaftler gehen davon aus, dass das vorliegende metabolische Ungleichgewicht dazu führt, dass Immunzellen aktiviert werden und in die Leber einwandern. Dort interagieren die Immunzellen mit den Leberzellen und lösen einen gewebeschädlichen Entzündungsprozess sowie eine Destabilisierung der metabolischen Aktivität der Leberzellen aus.

„Zunächst kommt es zu einer Verfettung der Leber. Die Entzündung fördert mit spezifischen Immunzellen das Voranschreiten der Fettleber und führt zur Entstehung von NASH. Diese Prozesse sind die Grundlage für eine Entartung von Leberzellen, die zum HCC führen kann“, erklärt Studienleiter Heikenwälder. „Unsere Ergebnisse liefern einen völlig neuen Einblick in die Entstehung dieser schweren Lebererkrankungen. Darauf aufbauend sind wir nun schon dabei neue präventive bzw. therapeutische Strategien gegen die Krankheiten entwickeln.“ Erste Studien im präklinischen Modell laufen bereits.


Originalpublikation
Wolf M. J., Adili A., Piotrowitz K., Abdullah Z., Boege Y., Stemmer K., Ringelhan M., Simonavicius N., Egger M., Wohlleber D., Lorentzen A., Einer C., Schulz S., Clavel T., Protzer U., Thiele C., Zischka H., Moch H., Tschöp M., Tumanov A. V., Haller D., Unger K., Karin M., Kopf M., Knolle P., Weber A. and Heikenwalder M., Metabolic activation of intrahepatic CD8+ and NKT-cells causes nonalcoholic steatohepatitis and hepatocellular carcinoma via cross-talk with hepatocytes, Cancer Cell, 2014.
DOI:10.1016/j.ccell.2014.09.003

Kontakt
Prof. Dr. Mathias Heikenwälder
Helmholtz Zentrum München/Technische Universität München
Institut für Virologie
Tel.: 089 4140-7440
heikenwaelderspam prevention@helmholtz-muenchen.de 
www.virologie.med.tu-muenchen.de

Weitere Informationen

Technische Universität München

Corporate Communications Center

Aktuelles zum Thema

HSTS