• 19.11.2014

Infektionen mit dem Hautkeim Staphylococcus aureus verstärken Neurodermitis

Bakterieninfektion unterdrückt schützende Immunantwort bei Neurodermitis

Nahezu jedes vierte Kind ist von Neurodermitis betroffen und auch bei Erwachsenen tritt diese Hauterkrankung häufig auf. Viele Patienten bekommen in den trockenen und offenen Hautbereichen zusätzlich Infektionen zum Beispiel mit dem krankmachenden Bakterium Staphylococcus aureus, das bei Neurodermitis-Patienten verstärkt auf der Haut zu finden ist. Dass diese Infektionen das Immunsystem massiv stören und so die Krankheit zusätzlich verschlechtern können, zeigten Wissenschaftler der Technischen Universität München (TUM) und der Universität Tübingen jetzt im Tiermodell.

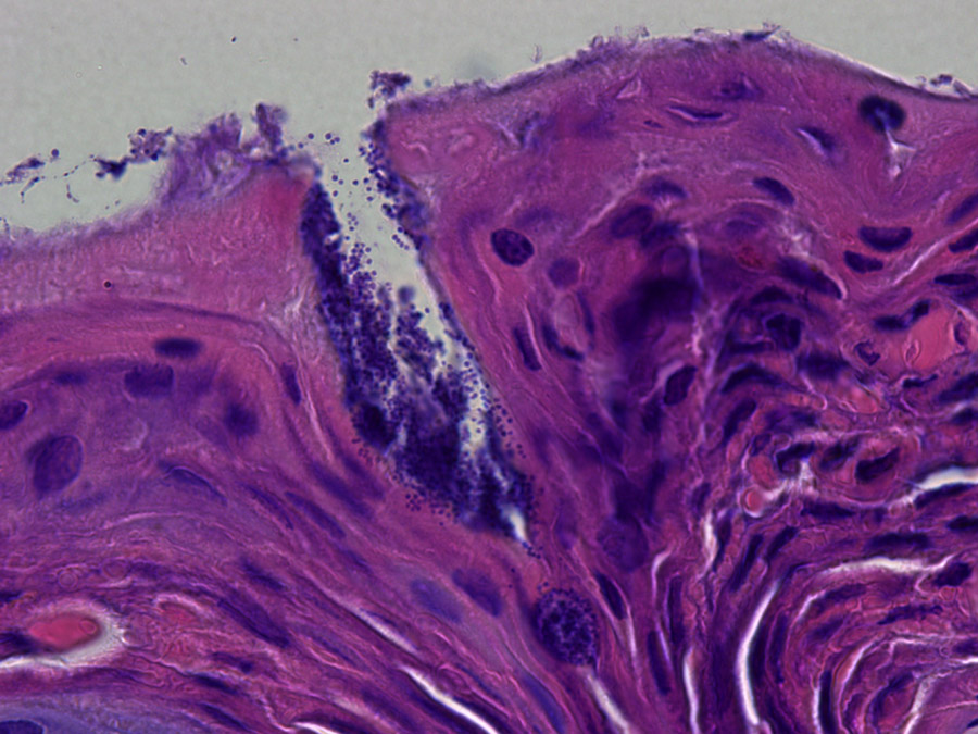
Auf der Abbildung ist die Haut eines Patienten mit Neurodermitis zu sehen (histologische Färbung), die mit Staphylococcus aureus Bakterien (dunkle Punkte auf der Oberfläche und in der Kerbe) bedeckt ist. (Bild: Y. Skabytska / Universität Tübingen)
Auf der Abbildung ist die Haut eines Patienten mit Neurodermitis zu sehen (histologische Färbung), die mit Staphylococcus aureus Bakterien (dunkle Punkte auf der Oberfläche und in der Kerbe) bedeckt ist. (Bild: Y. Skabytska / Universität Tübingen)

Weil die Haut und ihre Funktion als Barriere bei Neurodermitis-Patienten stark geschädigt sind, können sich eine Vielzahl von Bakterien ausbreiten – darunter auch Erreger wie das Bakterium Staphylococcus aureus. In vielen Patienten leben fast 200-Mal mehr S. aureus Bakterien auf der Haut als bei gesunden Menschen, was häufige Infektionen zur Folge hat. Prof. Tilo Biedermann und sein Team der Klinik für Allergologie und Dermatologie am Klinikum rechts der Isar und der Universität Tübingen konnten jetzt im Tiermodell zeigen, wie diese Infektionen den Krankheitsverlauf zusätzlich verschlechtern.

Abwehrstrategie gegen Erreger lahmgelegt
    
Als Barriere für krankmachende Keime ist die Haut mit einem speziellen Alarmsystem ausgestattet – mit Toll-like Rezeptoren. Diese Rezeptoren erkennen Substanzen von Bakterien wie zum Beispiel Oberflächenproteine und aktivieren dann das Immunsystem. In ihren Experimenten beobachteten die Wissenschaftler, dass Zellwandproteine von S. aureus auf der Haut die Bildung einer Gruppe von Immunzellen – den Myeloid-Derived Suppressor Cells (MDSCs) – über einen neuen Signalweg auslösten.

Unter normalen Bedingungen regulieren MDSCs Immunantworten und Entzündungen, indem sie sie im richtigen Moment unterdrücken beziehungsweise beenden. In den Experimenten führten die vielen Bakterienproteine von S. aureus auf der Haut aber zu einer übermäßigen Bildung von MDSCs – die Folge: auch hilfreiche Immunantworten in der Haut wurden unterdrückt. „Für den Kampf gegen die Erreger ist das eine sehr ungünstige Entwicklung. Die MDSCs unterdrücken schützende Abwehrstrategien in der Haut und verstärken so die Folgen der S. aureus Infektion“, erklärt Prof. Biedermann.

Mehr MDSCs in Neurodermitis-Patienten

Neben dem Tiermodell untersuchten die Wissenschaftler auch 33 Patienten mit Neurodermitis und stellten fest, dass sie im Vergleich zu gesunden Menschen erhöhte Mengen MDSCs in ihrem Blut und in der Haut hatten. „Diese klinische Beobachtung bestätigt unsere Ergebnisse. Die MDSCs scheinen gerade in Neurodermitis-Patienten in großen Mengen vorhanden zu sein und so die Immunantworten der Haut zu unterdrücken – mit negativen Folgen für den Krankheitsverlauf.“, erklärt Biedermann.

„Gerade schwer betroffene Patienten leiden sehr unter der chronischen Entzündung, dem Juckreiz und der Stigmatisierung durch die Umwelt. Eine frühzeitige und konsequente Behandlung der Patienten, die auch die Bakterien miteinschließt, ist sehr wichtig“, betont er. Mit seinem Team will er in nächsten Schritten untersuchen, wie Entzündungen durch MDSCs normalerweise beendet werden und dieses Wissen für neue Therapieansätze gegen entzündliche Hautkrankheiten wie Neurodermitis nutzen.

Die Forschungsarbeiten wurden durch die Deutsche Forschungsgemeinschaft (DFG) und die Baden-Württemberg-Stiftung gefördert.

Download von Bildmaterial

Originalpublikation
Skabytska Y., Wölbing F., Günther C., Köberle M., Kaesler S., Chen K.-M., Guenova E., Demircioglu D., Kempf W. E., Volz T., Rammensee H.-G., Schaller M., Röcken M., Götz F. and T. Biedermann, Cutaneous Innate Immune Sensing of Toll-like Receptor 2-6 Ligands Suppresses T Cell Immunity by Inducing Myeloid-Derived Suppressor Cells, Immunity, 2014.
DOI: 10.1016/j.immuni.2014.10.009

Kontakt
Prof. Dr. Tilo Biedermann
Klinik und Poliklinik für Dermatologie und Allergologie
Klinikum rechts der Isar der Technischen Universität München
Tel: 089 4140-3170
Tilo.biedermannspam prevention@lrz.tum.de
www.derma-allergie.med.tu-muenchen.de

Technische Universität München

Corporate Communications Center

Aktuelles zum Thema

HSTS