• 11.7.2016

Chemiker und Mediziner entwickeln neue Strategien gegen Prostatakrebs

Operation mit Gammasonde

Prostatakrebs ist eine der häufigsten Krebserkrankungen bei Männern. Selbst nachdem die Prostata operativ entfernt wurde, können sich in Lymphknoten im Becken neue Metastasen bilden. Forscherinnen und Forscher der Fakultäten für Medizin und Chemie an der Technischen Universität München (TUM) haben gemeinsam eine Methode entwickelt, mit der diese Tochtergeschwüre sichtbar gemacht und entfernt werden können, wenn sie noch sehr klein sind.

PET/CT-Aufnahme eines Beckens. Hell hervorgehoben ist ein Lymphknoten mit Metastasen. (Foto: Nuklearmedizin / TUM)
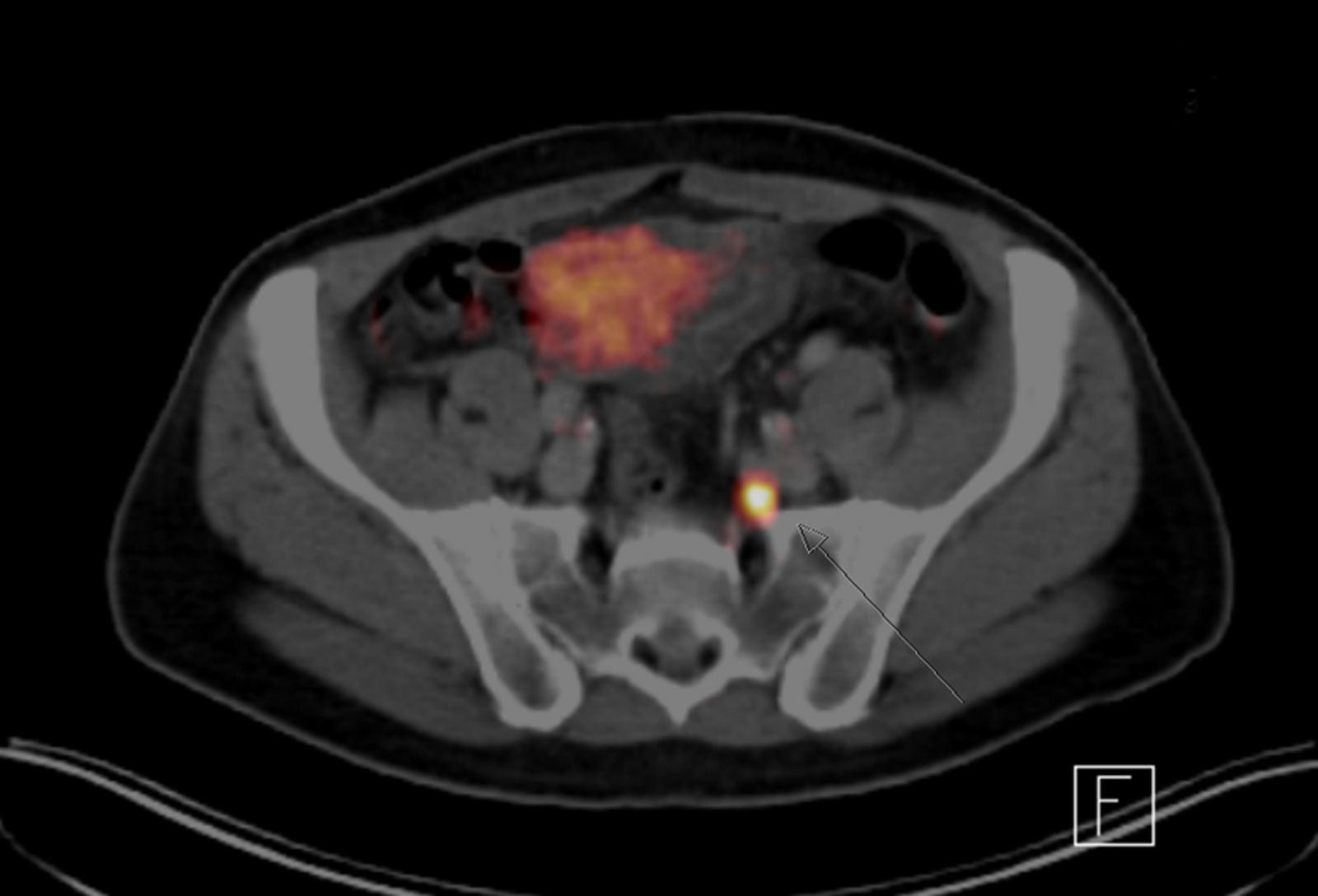
Durch an der TUM entwickelten Radioliganden können auch sehr kleine Metastasen sichtbar gemacht werden. Auf dieser PET/CT-Aufnahme ist ein veränderter Lymphknoten zu erkennen (Pfeil). (Foto: Nuklearmedizin / TUM)

Lymphknoten, in denen Prostatakrebs-Metastasen wachsen, wirken im Anfangsstadium unauffällig. Da sie nur wenige Millimeter groß sind,  lassen sie sich mit dem bloßen Auge nicht von ihren gesunden Nachbarn unterscheiden. Hinzu kommt, dass Metastasen auch in Lymphknoten entstehen können, die an Stellen liegen, an denen Ärzte typischerweise nicht nach ihnen suchen würden. Auch die Standard-Bildgebungsmethoden Magnetresonanztomografie (MRT) und Computertomografie (CT) können diese kleinen befallenen Lymphknoten nicht zuverlässig identifizieren.

Für dieses Problem hat ein interdisziplinäres Team von Wissenschaftlerinnen und Wissenschaftlern an der TUM eine Lösung gefunden. Der Schlüssel liegt darin, die Krebszellen effektiv hervorzuheben. Dabei machen sich die Forscher zunutze, dass an der Oberfläche von Krebszellen in Prostata-Tumoren und ihren Metastasen das Protein PSMA (Prostataspezifisches Membranantigen) auftritt, das im menschlichen Körper sonst selten ist.

Molekül dockt gezielt an Metastasen an

An der TUM werden verschiedenste radioaktiv markierte Moleküle, sogenannte Radioliganden, entwickelt. Diese binden im Körper spezifisch an Proteine, in diesem Fall an PSMA, die sich auf der Zelloberfläche von krankhaften Gewebe befinden. Werden derart markierte PSMA-bindende Moleküle in den Blutkreislauf eines Patienten injiziert, binden diese an eventuell vorhandene Metastasen und senden von dort aus eine begrenzte Zeit lang Strahlung aus. „Da wir auf Molekülebene arbeiten, ist die entstehende Strahlenbelastung minimal. Dazu kommt, dass die verwendeten Elemente eine kurze Halbwertszeit haben und nur wenige Stunden bis Tage im Körper nachzuweisen sind“, erläutert Prof. Hans-Jürgen Wester, Inhaber des Lehrstuhls für Pharmazeutische Radiochemie.

Mithilfe einer Positronen-Emissions-Tomografie (PET) die mit einer CT oder MRT kombiniert wird,  lassen sich die die nun Strahlung aussendenden Metastasen sichtbar machen und zeitgleich die genaue Lage der markierten Zellen bestimmen. Bei der Entwicklung und Anwendung des Verfahrens arbeiten Radiochemiker, Nuklearmediziner und Urologen der TUM eng zusammen. Anhand der gewonnenen Daten können die Ärzte erkennen, ob eine Operation sinnvoll wäre und gemeinsam mit dem Patienten  die Entscheidung für oder gegen einen Eingriff treffen. Neben den Ergebnissen der PET/CT-Untersuchung fließen aber auch Faktoren wie die physische Verfassung des Patienten in die Empfehlung der Mediziner ein.

Akustische Signale als Orientierung

Die Fähigkeit, Metastasen radioaktiv zu markieren, eröffnet auch neue Möglichkeiten, das befallene Gewebe zu entfernen. Ärzte und Wissenschaftler der TUM und des Klinikums rechts der Isar haben dafür gemeinsam das OP-Verfahren „PSMA radio-guided surgery" entwickelt. Am Tag vor dem Eingriff erhält der Patient eine Infusion mit dem PSMA-Radioliganden. Während der Operation untersucht der Chirurg oder die Chirurgin dann das Gewebe mit einer Gammastrahlensonde. Ähnlich wie ein Geigerzähler misst diese die Strahlung und gibt den Wert über akustische Signale und eine Anzeige an das Operationsteam weiter. 

„Auf diese Weise können wir gezielt die Lymphknoten identifizieren, die von Metastasen befallen sind, und sie sicher entfernen.“ sagt Oberarzt Dr. Tobias Maurer von der Klinik für Urologie. Mit herkömmlichen Verfahren könne es dagegen vorkommen, dass die veränderten Lymphknoten gar nicht gefunden werden.  „Teilweise konnten durch diese Methode tumortragende Lymphknoten gefunden und entfernt werden, die so klein waren, dass noch nicht einmal unsere PET/MRT-Untersuchung vorab auf sie angesprochen hatte“, fügt Prof. Markus Schwaiger, Inhaber des Lehrstuhls für Nuklearmedizin hinzu.

Vielversprechende Ergebnisse

Bei der PSMA radio-guided surgery nimmt das Klinikum rechts der Isar eine Vorreiterrolle ein. Das Verfahren wird hier seit 2014 angewandt und stetig verbessert. Bisher wurden etwa 60 Patienten behandelt, die Ergebnisse sind vielversprechend. Systematische Nachuntersuchungen in einer Gruppe von 21  Patienten zeigten, dass bei zehn Patienten der Biomarker für Prostatakrebs um mehr als 90 Prozent reduziert wurde. Zwölf Patienten benötigten keine weitere Therapie bei einer Nachbeobachtungszeit von fast einem Jahr.

„Unsere Methode könnte sich als ein neuer und wichtiger Baustein für die multidisziplinäre Therapie von Prostata-Krebs etablieren“, sagt Prof. Jürgen Gschwend, Direktor der Klinik für Urologie. Bei erneutem Auftreten eines Prostata-Krebses könne man bei geeigneten Patienten selbst kleinste Metastasen entfernen und so unter Umständen eine nachträgliche Hormon- oder Strahlentherapie vermeiden. In den kommenden Monaten und Jahren müsse das Verfahren evaluiert werden. Insbesondere sei es wichtig herauszufinden, für welche Patienten es am besten geeignet sei, sagt Jürgen Gschwend.

Kontakt

PD Dr. med. Tobias Maurer
Klinik und Poliklinik für Urologie
E-mail: tobias.maurer@tum.de
Tel.: +49-89-4140-2522

Publikationen

T. Maurer, K. Schwamborn, M. Schottelius, H-J Wester, M. Schwaiger, J. Gschwend, M. Eiber. "PSMA THeranostics Using PET and Subsequent Radioguided Surgery in Recurrent Prostate Cancer". Journal of Clinical Genitourinary Cancer May 2016. DOI: 10.1016/j.clgc.2016.05.020

T. Maurer, G. Weirich, M. Schottelius, M. Weineisen, B. Frisch, A. Okur, H. Kübler, M. Thalgott, N. Navab, M. Schwaiger, H.-J. Wester, J. Gschwend, M. Eiber. "Prostate-specific Membrane Antigen–radioguided Surgery for Metastatic Lymph Nodes in Prostate Cancer". European Urology 68 (2015). DOI: 10.1016/j.eururo.2015.04.034

M. Eiber, T. Maurer, M. Souvatzoglou, A. Beer,  A. Ruffani, B. Haller, F.-P. Graner, H. Kübler, U. Haberhorn, M. Eisenhut, H.-J. Wester, J. Gschwend, M. Schwaiger. "Evaluation of Hybrid 68Ga-PSMA Ligand PET/CT in 248 Patients with Biochemical Recurrence After Radical Prostatectomy". Journal of Nuclear Medicine. May 2015. DOI: 10.2967/jnumed.115.154153

 

 

Technische Universität München

Corporate Communications Center

HSTS