• 27.10.2016

Ist das Powerhaus der Zelle gestört, leiden die Stammzellen

Mitochondrien steuern unsere Darmzellen

Was läuft in den Darmzellen bei chronischen Erkrankungen ab? Die Grundlagenforschung am Lehrstuhl für Ernährung und Immunologie der Technischen Universität München (TUM) soll Antworten auf solche Fragen finden. Funktionsfähige Mitochondrien übernehmen einen entscheidenden Part bei der Zellhomöostase, aber was passiert, wenn ein wichtiger Spieler des Anti-Stress-Programmes in Mitochondrien ausgeschaltet wird? Einerseits gehen dadurch Stammzellen verloren, jedoch andererseits kommen Heilungsprozesse in Gang.

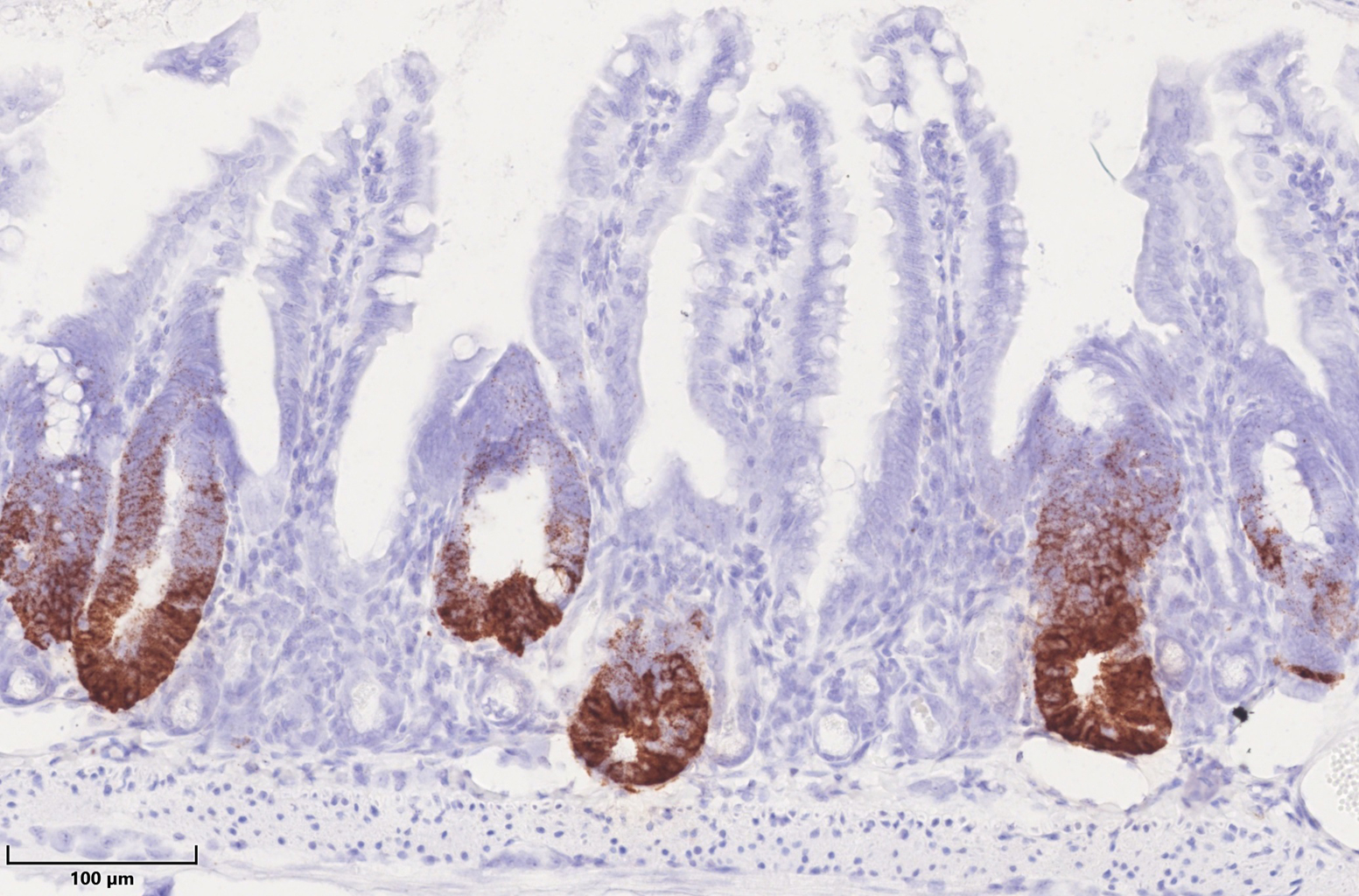
HSP60 in Mitochondrien kontrolliert die Stammzellproliferation im Darmepithel. HSP60-negative Krypten im Darm zeichnen sich durch den Verlust von braungefärbten Stammzellen aus, während HSP60-positive Darmareale eine verstärkte Stammzellproliferation zeigen. (Foto: Team Haller/ TUM)
HSP60 in Mitochondrien kontrolliert die Stammzellproliferation im Darmepithel. HSP60-negative Krypten im Darm zeichnen sich durch den Verlust von braungefärbten Stammzellen aus, während HSP60-positive Darmareale eine verstärkte Stammzellproliferation zeigen. (Foto: Team Haller/ TUM)

Der menschliche Darm umfasst aufgrund seiner vielen Ausbuchtungen (Darmzotten) eine Fläche von rund 300 bis 450 Quadratmetern. Diese innere Darmwand voller kleinster Erhebungen erneuert sich einmal komplett alle vier bis fünf Tage. Ein Prozess, an welchem Stammzellen und die in ihnen enthaltenen Mitochondrien den entscheidenden Part innehaben. Denn Mitochondrien sind die Energielieferanten in jeder Zelle und für die Zellatmung zuständig.

Eine gestörte Selbsterneuerung der Darmzellen beispielsweise durch defekte Mitochondrien kann unter Extrembedingungen wie zum Beispiel bei einer chronischen Entzündung auftreten. "Wir sprechen dann von Zellstress", erklärt Professor Dirk Haller vom Lehrstuhl für Ernährung und Immunologie sowie geschäftsführender Direktor des ZIEL– Institute for Food and Health an der Technischen Universität München (TUM). Tritt Zellstress auf, dann eilen – bildhaft betrachtet – Helfer herbei, die in den Zellen der sich selbst erneuernden Darmschleimhaut dafür sorgen, dass sich die an der Erneuerung beteiligten Proteine ordentlich falten, es zu keinen Zellveränderungen kommt und das ganze Zellsystem stabil bleibt. Ein Regler des Status quo in den Mitochondrien der Darmzellen wird Hitzeschockprotein (HSP) 60 genannt.

Studie mit ausgeschaltetem Hitzeschockprotein

In einer gerade in Nature Communications veröffentlichten Studie von Haller und seinem Team wurde dieses HSP60 genauer untersucht. Es ist an der zuvor beschriebenen und wissenschaftlich so genannten unfolded protein response (UPR) maßgeblich beteiligt – es kann als Baustein des Anti-Stress-Programms von Zellen verstanden werden. Was passiert, wenn genau dieser entscheidende Regler HSP60 im Darm ausgeschaltet wird? Wie reagieren Mitochondrien in den Zellen, wenn es wegfällt?

Auf der einen Seite war die Atemkapazität und der zelluläre ATP-Spiegel reduziert, beides Schlüsselaufgaben des Mitochondriums, dem Powerhaus der Zelle. Daneben konnten Professor Haller und sein Team beobachten, dass alle Zellen ohne HSP60 Veränderungen aufzeigten. Stammzellen verloren ihre Fähigkeit zur Selbsterneuerung, während umliegende Epithelzellen ein Wachstumsprogramm initialisierten.

"Verblüffend war aber die Reaktion auf fehlendes HSP60“, sagt Haller – „denn obwohl Stammzellen ihre charakteristischen Eigenschaften verloren, aktivierten die gestressten Zellen der umliegenden Darmschleimwand neue Signalwege zur Regeneration." Die Zellen mit einer gestörten Mitochondrienfunktion senden Botenstoffe aus als „Hilferuf“. Über diese Botenstoffe sorgen sie dafür, dass die noch vorhandenen Stammzellen mit intakten Mitochondrien sich stark teilen, diese neuen intakten Zellen ersetzen die anderen, gestressten.

Gegenregulation in den Zellen

Der Mangel an HSP60 ließ folglich eine Kommunikation von einer Zelle zur anderen entstehen und löste damit einen bislang unbekannten Heilungsmechanismus aus, der nach Verletzungen oder Entzündungen des Darmes von Bedeutung kann. "Das Ergebnis zeigt, welch’ fundamentale Rolle funktionsfähigen Mitochondrien zukommt bei der Kontrolle der Darmschleimwanderneuerung und wie sie chronische Erkrankungen des Darmes beeinflussen“, erklärt Haller das Ergebnis. Bei einer permanenten Entzündungssituation des Darmes sei folglich die Kapazität der Stammzellen zur Selbsterneuerung ständig gefährdet und die Entstehung von Tumoren könne dadurch begünstigt werden.

Publikation:

Emanuel Berger, Eva Rath, Detian Yuan, Nadine Waldschmitt, Sevana Khaloian, Michael Allgäuer, Ori Staszewski, Elena M Lobner, Theresa Schöttl, Pieter Giesbertz, Olivia I Coleman, Marco Prinz, Achim Weber, Markus Gerhard, Martin Klingenspor, Klaus-Peter Janssen, Mathias Heikenwalder, and Dirk Haller: Mitochondrial function controls intestinal epithelial stemness and proliferation, Nature Communications 2016, DOI: 10.1038/NCOMMS13171.

Kontakt:

Prof. Dr. Dirk Haller
Technische Universität München
Lehrstuhl für Ernährung und Immunologie
ZIEL - Institute for Food & Health (Direktor)
Gregor-Mendel-Str. 2
85354 Freising
www.nutrition-immonology.de
dirk.hallerspam prevention@tum.de

Technische Universität München

Corporate Communications Center

Aktuelles zum Thema

HSTS