• 12.6.2019
  • Lesezeit: 3 Min.

Immuntherapie heilt erfolgreich chronische HBV-Infektion in Mäusen

Schachmatt für Hepatitis B-Viren in der Leber

Einem Forschungsteam aus München, Hamburg und Heidelberg ist es erstmals gelungen, eine chronische Infektion mit dem Hepatitis-B-Virus (HBV) zu besiegen. In einem Infektionsmodell zeigen die Forscherinnen und Forscher, dass eine Immuntherapie mit T-Zellen zu einer echten Heilung führen kann. Bislang war es nicht möglich, das Virus komplett zu kontrollieren.

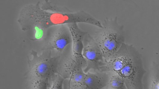
Das Bild zeigt eine HBV-spezifische T Zelle (grün), die eine Zielzelle angreift, in der Virusproteine gebildet werden (rot) und HBV negative Zellen (blau). J. Wettengel / Helmholtz Zentrum München
Das Bild zeigt eine HBV-spezifische T Zelle (grün), die eine Zielzelle angreift, in der Virusproteine gebildet werden (rot) und HBV negative Zellen (blau).

Infektionen mit HBV sind ein weltweites Gesundheitsproblem, WHO-Angaben zufolge leiden über 260 Millionen Menschen an einer chronischen Infektion. Impfungen verhindern zwar Neuinfektionen, aber für Personen, die sich z.B. bei ihrer Geburt angesteckt haben und die chronische Virusträger sind, ist eine Heilung bisher nicht möglich. Medikamente bewirken nur, dass sich die Viren in Leberzellen nicht weiter vermehren, können sie aber nicht zerstören. Langfristig kann es dadurch zu Leberkrebs oder einer Umwandlung von Lebergewebe in funktionsloses Bindegewebe (Leberzirrhose) kommen.

„Mit unserer neuen Studie konnten wir zeigen, dass die neue Technologie der Immuntherapie eine ermutigende Lösung für die Behandlung chronischer HBV-Infektionen und den durch das Virus ausgelösten Leberkrebs darstellt. Diese ‚living drugs‘ sind das Wirksamste, was uns aktuell zur Verfügung steht“, erklärt Prof. Dr. Ulrike Protzer. Sie ist Direktorin des Instituts für Virologie der TUM und des Helmholtz Zentrums München, zweier Partnereinrichtungen des Deutschen Zentrums für Infektionsforschung (DZIF). Das Universitätsklinikum Heidelberg war ebenfalls an der Studie beteiligt.

T-Zellen eliminieren Hepatitis B

Laut Dr. Karin Wisskirchen, Erstautorin der Studie und Wissenschaftlerin bei Ulrike Protzer, wurde die Verwendung von T-Zellen zur Bekämpfung der Infektion als gezielte Behandlungsalternative entwickelt. T-Zellen sind eine Gruppe von weißen Blutkörperchen, also Bestandteil der Immunabwehr. Es ist bekannt, dass T-Zellen in chronisch-infizierten Patienten entweder gar nicht zu finden sind oder eine niedrige Aktivität aufweisen. Kann ein Patient das Virus hingegen kontrollieren, ist eine starke T-Zellantwort messbar.

„Damit liegt nahe, dieses Defizit durch spezifische T-Zellen therapeutisch auszugleichen“, so Karin Wisskirchen. Die genetische Information für HBV-spezifische T-Zellen wurde aus Patienten gewonnen, bei denen die Infektion ausgeheilt war. Die Wissenschaftlerinnen und Wissenschaftler brachten sie dann in T-Zellen aus dem Blut von Patienten mit chronischer Hepatitis B ein. Dadurch entstanden neue, aktive T-Zellen, die nur das Virus oder virus-verursachte Krebszellen bekämpften. Sie waren in der Lage, HBV-infizierte Zellen in Zellkultur komplett zu eliminieren.

Erfolge im Tiermodell

In Zusammenarbeit mit der Gruppe von Prof. Maura Dandri vom Universitätsklinikum Hamburg-Eppendorf wurden die Immunzellen dann in einem humanisierten Mausmodell getestet. Bereits eine einmalige Gabe der künstlich veränderten T-Zellen kontrollierte das Virus in der Leber. Die T-Zellen griffen nur infizierte Leberzellen an, schonten aber das gesunde Gewebe. Die zusätzliche Gabe eines experimentellen Medikaments verhinderte dann, dass HBV sich in den gesunden Leberzellen wieder ausbreiten konnte, sobald die T-Zellen nicht mehr da waren. So konnte die Infektion ausheilen.

Gemeinsam wollen die Partner die klinische Entwicklung dieser Form der personalisierten Medizin vorantreiben. Sie planen eine klinische Studie zur Behandlung von Patienten mit HBV-verursachtem Leberkrebs, um die Therapie künftig bei vielen Patienten anwenden zu können.

Publikationen

Wisskirchen K., Kah J. et al.: T cell receptor grafting allows virological control of Hepatitis B virus infection, The Journal of Clinical Investigation, April 30, 2019, DOI: 10.1172/JCI120228.

Technische Universität München

Corporate Communications Center

Kontakte zum Artikel:

Prof. Ulrike Protzer
Institut für Virologie
Technische Universität München
Tel: +49 89-4140 6821
E-Mail: protzer(at)tum.de

Aktuelles zum Thema

HSTS