• 13.5.2020
  • Lesezeit: 2 Min.

Kalziumkanal an Entstehung von Bauchspeicheldrüsenentzündungen beteiligt

Krankheitsauslöser für Pankreatitis identifiziert

An der Entstehung einer chronischen Bauchspeicheldrüsenentzündung sind Mutationen in einem Ionenkanal in der Zellmembran beteiligt, der eine spezifische Durchlässigkeit für Kalziumionen besitzt. Diese bahnbrechende Entdeckung machte ein Forschungsteam der Technischen Universität München (TUM) zusammen mit weiteren Gruppen aus Deutschland, Japan und Frankreich. Damit könnten sie den Weg für neue Therapeutika zur Behandlung und Prävention der chronischen Pankreatitis ebnen.

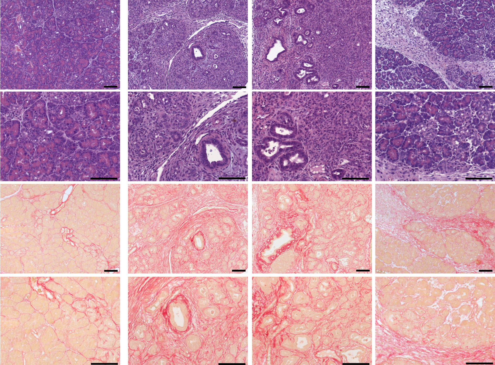
Mikroskopische Aufnahmen im Mausmodell
Bei einer Studie eines internationalen Forschungsteams um Prof. Heiko Witt stellte sich sowohl im Mausmodell (Abbildung) als auch bei Patienten heraus, dass Gendefekte, die die Funktion des Kalziumkanals TRPV6 stark beeinträchtigen, eine früh einsetzende chronische Bauchspeicheldrüsenentzündung verursachen. (Bild: Prof. Heiko Witt / TUM)

An einer chronischen Pankreatitis leiden Menschen, deren Bauchspeicheldrüse sich immer wieder oder dauerhaft entzündet. „Ursache hierfür ist häufig ein jahrelanger Alkohol- oder Zigarettenkonsum. Auch erbliche Faktoren, bestimmte Medikamente oder erhöhte Fett- und Kalziumwerte im Blut können eine Bauchspeicheldrüsenentzündung auslösen“, erklärt Heiko Witt, Professor für Pädiatrische Ernährungsmedizin am Else Kröner-Fresenius Zentrum (EKFZ) der TUM und einer der beiden Studienleiter.

Der Hauptfokus der bisherigen Forschung lag auf den so genannten Azinuszellen der Bauchspeicheldrüse, die die Verdauungsenzyme herstellen. Bei vielen Erkrankten mit erblich bedingter Pankreatitis lassen sich Mutationen in Verdauungsenzymen oder in Molekülen feststellen, welche die Wirkung dieser Enzyme hemmen.

Funktionsstörung des Kalziumkanals verursacht Pankreatitis

In der aktuellen Untersuchung bei europäischen und japanischen Patientinnen und Patienten mit nicht-alkoholischer chronischer Pankreatitis stellte sich heraus, dass Gendefekte, die die Funktion des Kalziumkanals TRPV6 stark beeinträchtigen, eine früh einsetzende chronische Bauchspeicheldrüsenentzündung verursachen. 

„Ein erblicher TRPV6-Defekt ist ein weltweit auftretender, schwerer Risikofaktor für eine chronische Pankreatitis“, sagt Prof. Witt. „Mit der Identifikation von Veränderungen des Kalziumkanals werden nun auch die Gangzellen im Konzept der Krankheitsentstehung berücksichtigt.“ Gangzellen kleiden die Kanäle aus, welche die Verdauungsenzyme vom Produktionsort in den Darm leiten. 

Im Mausmodell konnten die Wissenschaftlerinnen und Wissenschaftler zeigen, dass ein Fehlen des betreffenden Gens meist mit einer Entzündung sowie der Entwicklung einer bindegewebigen Umwandlung der Bauchspeicheldrüse, wie es typisch für chronische Entzündungen ist, einherging. 

Entdeckung bietet Möglichkeiten für pharmakologische Therapieansätze

Die Entdeckung, dass die gestörte Funktion eines Kalziumkanals zur Entwicklung einer Pankreatitis beiträgt, bietet einen neuen Angriffspunkt für therapeutische Interventionen. Die Forschungsergebnisse werden zudem Eingang in die genetische Routinediagnostik der erblichen Pankreatitis finden. 

Darüber hinaus eröffnet sich ein neues Forschungsfeld in der Ursachenforschung der Pankreatitis – weg von den Azinuszellen und den Verdauungsenzymen hin zu Gangzellen und Kanälen beziehungsweise zum Kalziumstoffwechsel.

Mit der Identifikation von Mutationen eines Kalziumkanals als krankheits(mit)verursachender Faktor rücken andere Kalziumkanäle sowie Proteine, die in dem Kalziumstoffwechsel relevant sind, in den Fokus des wissenschaftlichen Interesses. „Derzeit untersuchen wir diese Gene auf Erbveränderungen in einem großen europäischen Patientenkollektiv von über 1.100 Betroffenen“, lässt Prof. Witt wissen. 

„Die Entschlüsselung der erblichen Grundlagen einer Pankreatitis wird unser Verständnis dieser Formen der genetisch bedingten Bauchspeicheldrüsenentzündung wie auch unser Verständnis der alkoholisch bedingten Pankreatitis entscheidend beeinflussen und neue Forschungsansätze eröffnen, die in der Zukunft möglicherweise auch zu neuen Behandlungsmöglichkeiten führen.“ 

Publikationen

Masamune A., Kotani H., Sörgel F.L., Chen J.M., Hamada S., Sakaguchi R., Masson E., Nakano E., Kakuta Y., Niihori T., Funayama R., Shirota M., Hirano T., Kawamoto T., Hosokoshi A., Kume K., Unger L., Ewers M., Laumen H., Bugert P., Mori M.X., Tsvilovskyy V., Weißgerber P., Kriebs U., Fecher-Trost C., Freichel M., Diakopoulos K.N., Berninger A., Lesina M., Ishii K., Itoi T., Ikeura T., Okazaki K., Kaune T., Rosendahl J., Nagasaki M., Uezono Y., Algül H., Nakayama K., Matsubara Y., Aoki Y., Férec C., Mori Y., Witt H., Shimosegawa T.: Variants That Affect Function of Calcium Channel TRPV6 Are Associated With Early-Onset Chronic Pancreatitis. Gastroenterology. 2020 Jan 10. pii: S0016-5085(20)30017-2. DOI: 10.1053/j.gastro.2020.01.005.

Weitere Informationen und Links

Die Arbeit wurde von der Else Kröner-Fresenius-Stiftung (EKFS) unterstützt. Professor Witt ist Mitglied des Else Kröner-Fresenius-Zentrums für Ernährungsmedizin (EKFZ). Das EKFZ wurde im Jahr 2005 an der TUM eingerichtet: Der innovative Ansatz verbindet die klassische Ernährungswissenschaft mit der medizinischen Forschung auf breiter Front – bislang einzigartig in der Forschungslandschaft Europas.

An der Studie sind mehrere Institutionen beteiligt: In Deutschland sind dies die Professur für Pädiatrische Ernährungsmedizin, Else Kröner-Fresenius-Zentrum (EKFZ) für Ernährungsmedizin, TUM, Prof. Dr. Heiko Witt, das Comprehensive Cancer Center am Klinikum rechts der Isar (MRI) der TUM, Prof. Dr. Hana Algül, das Pharmakologische Institut der Universität Heidelberg & DZHK (German Center for Cardiovascular Research), die Experimentelle und Klinische Pharmakologie und Toxikologie der Universität des Saarlandes sowie die Abteilung für Innere Medizin der Martin-Luther-Universität Halle. Aus Japan sind beteiligt: die Division of Gastroenterology & Division of Medical Genetics & Division of Cell Proliferation der Tohoku University Graduate School of Medicine, Sendai, sowie das Department of Synthetic Chemistry and Biological Chemistry, Kyoto. Aus Frankreich ist die Organisation INSERM der Universität der Westbretagne in Brest beteiligt.
 

Hochauflösende Bilder für die Berichterstattung 

Technische Universität München

Corporate Communications Center

Kontakte zum Artikel:

Prof. Dr. Heiko Witt
Technische Universität München
Professur für Pädiatrische Ernährungsmedizin
Tel.: +49.8161.71.2466
Heiko.Wittspam prevention@tum.de

Aktuelles zum Thema

HSTS