Maus-Studie zeigt gestörte Zell-Entwicklung
Intervallfasten könnte Heranwachsenden schaden
„Intervallfasten kann erwiesenermaßen Vorteile für den menschlichen Körper haben. Es stimuliert den Stoffwechsel und kann gegen Übergewicht sowie Herzkreislauferkrankungen helfen. Aber ob es Nebenwirkungen hat, war bisher nicht bekannt“, sagt Alexander Bartelt, Professor am Else Kröner Fresenius Zentrum für Ernährungsmedizin an der TUM. In der jüngst erschienenen Studie konnten er und weitere Forschende nun zeigen, dass Intervallfasten in jungem Alter den Stoffwechsel langfristig beeinträchtigen kann.
Bei älteren Tieren verbessert sich der Stoffwechsel, bei jungen nicht
Die Forschenden verglichen hierfür drei Gruppen von Mäusen: Eine bestand aus heranwachsenden Mäusen, eine aus bereits ausgewachsenen Tieren und eine setzte sich aus älteren Tieren zusammen. Die Mäuse blieben einen Tag ohne Futter und wurden an zwei Tagen normal gefüttert. Nach zehn Wochen hatte sich bei den erwachsenen und den älteren Tieren die Insulinsensitivität verbessert, ihre Körper reagierten also effizienter auf das von der Bauchspeicheldrüse ausgeschüttete Insulin. Dies ist wichtig für zahlreiche Prozesse im Körper, wie unter anderem zur Regulation von Blutzucker und als Prävention für Typ-2-Diabetes.
Bei den heranwachsenden Tieren hingegen arbeiteten die Beta-Zellen der Bauchspeicheldrüse nur noch eingeschränkt. Da diese für die Produktion des essenziellen Hormons Insulin verantwortlich sind, hat das schwerwiegende Folgen und führt langfristig zu Diabetes. Hierbei produziert der Körper zu wenig Insulin und der Stoffwechsel gerät aus dem Gleichgewicht. „Intervallfasten wirkt sich eigentlich positiv auf die Beta-Zellen aus. Dass in der Mausstudie junge Tiere nach dauerhaftem Intervallfasten dann weniger Insulin produzierten, hat uns deshalb überrascht“, erklärt Leonardo Matta von Helmholtz Munich, einer der Erstautoren der Arbeit.
Defekte Beta-Zellen ähneln denen von Typ-1-Diabetes-Betroffenen
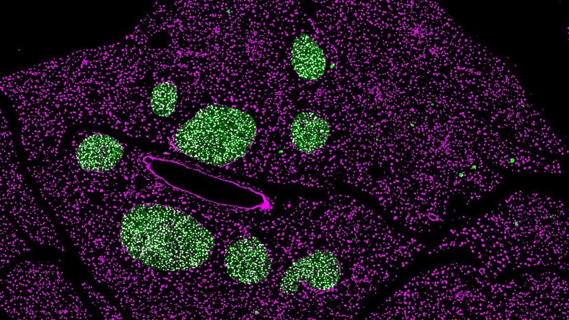
Warum das passiert, konnten die Forschenden mithilfe der hochauflösenden Einzelzellsequenzierung entschlüsseln. Sie untersuchten den Bauplan der Zellen der Bauchspeicheldrüse und fanden heraus, dass sich die Beta-Zellen der jungen Tiere nicht richtig entwickelten: „Die Zellen der heranwachsenden Mäuse hörten an einem bestimmten Punkt auf zu reifen und produzierten dann weniger Insulin“, sagt Peter Weber von Helmholtz Munich, ebenfalls Erstautor der Studie. Die älteren Tiere, deren Zellen schon vor Beginn des Intervallfastens ausgereift waren, waren davon nicht betroffen.
Die Forschenden verglichen diesen Befund mit Referenzdaten aus menschlichen Geweben. Patientinnen und Patienten mit Typ-1-Diabetes, bei denen die Beta-Zellen durch eine Autoimmunreaktion verloren gehen, zeigten ähnliche verminderte Reifungsmuster wie die der jungen Tiere. Dies unterstreicht die Forschungsergebnisse der Mausstudie und stützt die These des Teams, dass die Ergebnisse auf den Menschen übertragbar sind.
„Unsere Studie bestärkt, dass sich Intervallfasten für Erwachsene günstig auswirkt, bei Kindern und Jugendlichen besteht aber eventuell ein Risiko“ sagt Stephan Herzig, Professor für Molekulare Stoffwechselkontrolle an der TUM und Direktor des Instituts für Diabetes und Krebs bei Helmholtz Munich. „Als nächsten Schritt werden wir jetzt den molekularen Mechanismen weiter auf den Grund gehen. Wenn wir diese besser verstehen oder sogar die Entwicklung von Beta-Zellen fördern könnten, wäre dies ein neuer Ansatz für die Diabetes-Therapie.“
Matta, L., Weber, P., Erener, S. et al., Chronic intermittent fasting impairs β cell maturation and function in adolescent mice, Cell Reports (2025). DOI: doi.org/10.1016/j.celrep.2024.115225.
- Alexander Bartelt ist Professor für Translationale Ernährungsmedizin an der TUM School of Life Sciences.
- Stephan Herzig ist Professor für Molekulare Stoffwechselkontrolle an der TUM School of Medicine und Direktor des Instituts für Diabetes und Krebs bei Helmholtz Munich.
- Vorstellungsvideo von Prof. Alexander Bartelt.
Kontakte zum Artikel:
Prof. Dr. Alexander Bartelt
Technische Universität München
Lehrstuhl für Translationale Ernährungsmedizin
alexander.bartelt@tum.de
Prof. Dr. Stephan Herzig
stephan.herzig@helmholtz-muenchen.de